2013年11月アーカイブ

学校祭の中で行った「設中3分クッキング」には、多くの方に

御来場いただきありがとうございました。

食育委員会で考えたメニューを実際に調理しながら発表しました。

しょうゆとバター、生姜のいい香りが教室内に広がり、味も上々だと、

とても好評でした。「簡単でおいしいのでぜひ家でも作ってみたい」

との感想もいただきました。

「来年はもっとおいしいものを」と、生徒たちは早くも来年に向けて

考えています。

レシピを御覧いただき、ぜひ御家庭でも挑戦してみてください。

食育発表会レシピはこちら1123 106

12月のこんだて表はこちら

3年生学年発表「海外研修報告会」

学校祭で3年生は、「海外研修報告会」を行いました。

一度、夏休みに町民の方々に報告会をしていましたが、そこからグレードアップした発表を目指しました。

見に来たお客さんが喜んでくださるように、クイズや劇を取り入れました。

clip_image002clip_image004clip_image006clip_image008

前半は7泊8日の海外研修の概要を、後半は特に印象に残った出来事をクイズにしたり劇にしたりして、伝えました。

発表中、拍手や笑い声も多く、お客さんに喜んでいただけたのではないかと思います。

学校祭で2年生は「職場体験報告会」を行いました。

夏休み中に行った職場体験の様子を一人一人が写真を使って説明しました。

また、「あなたにとって働くとは?」というテーマで、グループ討議も行いました。

それぞれが感じた「働くとは?」を一言にしてフリップに書きました。

書かれた言葉には、「自分の経験を活かすこと」「お客さんのことを一番に考えること(喜ばせること)」「根気がいること」「努力」等がありました。短い期間の職場体験でしたが、生徒なりに働くことの意義を感じたことがわかります。

最後にお客さん参加型の実演発表も行いました。

喫茶班、整体班、木材加工班、美容室班、保育園班、消防班、箱詰め班、販売班に分かれ、楽しみながら発表することができました。

 

CIMG4326 DSC_1913

【体験の発表】

 

CIMG4349 CIMG4355  

【美容師になって髪型を整える】         【整体の実演】

 

  DSC_1943 DSC_1920 

【喫茶店での給仕】                  【野菜の出荷の実演】

 DSC_1930 DSC_1937

【保育士になって子どものお世話】        【消防士になって救急救命】

DSC_1941 CIMG4344

【家具づくりで電動ヤスリをかける】        【作った商品を販売】

「地域の名人に学ぶ」の発表

11月23日の学校祭で、1年生は「地域の名人に学ぶ」の発表を行いました。

1年生は、夏休みに地域の名人を訪れ、それぞれ体験を行いました。そして報告書にまとめたことをもとに、実演を交えて分かりやすく発表しました。

当日は、名人の方にも何人か参観していただきました。実演に参加していただいたり、説明を付け加えてくださっていただいたりしました。

お忙しい中、本当にありがとうございました。各発表の様子です。

1123 046DSCN3842

 【お酒造り】                【田口線の歴史】

DSCN3847DSCN3863

 【設楽町の特産物】           【こんにゃくづくり】

CIMG5086CIMG5084

 【田内地区の竹太鼓】          【寒狭川の魚釣り】

DSCN3901CIMG5098

 【五平餅づくり①】            【家具づくり】

1123 060DSCF8667

 【田峯茶】                 【田峯小に伝わる青い目の人形】

DSCF86791123 065

 【碁盤石山の伝説】           【ルネッサンストマトの栽培】

 1123 086DSC_0564

 【五平餅づくり②】            【大勢のお客さんが来てくれました】

1年生はこの体験を通し、自分たちの住んでいる地域の良さ、そして自分たちも地域のことを考え大切にしていかなければいけないということを学びました。

「地域の名人に学ぶ」の発表をご参観いただいた皆様、ありがとうございました。

♪木絆が見えた合唱コンクール♪

【学校祭 合唱コンクール編】

学校祭の午後は、合唱コンクールです。

全校合唱、課題曲、自由曲の3曲をきららホールいっぱいのお客さんに届けるために、どのクラスも9月から約2ヶ月間、音楽の授業だけでなく、朝・帰りの短学活や放課などの空いた時間を見つけてクラスの歌声を創り上げてきました。

緊張で硬くなっていた生徒もいましたが、何より練習以上の歌声と気持ちが伝わってきた合唱コンクールになりました。1年生は4月から混声合唱に取り組み、クラスで発表する初めての場で今持っている力を十分に出すことができました。2年生はさすが2年目と言えるハーモニー豊かな響きを創り上げ、3年生は去年よりもさらにパワフルな歌声を届けてくれました。賞をもらい喜びに沸くクラス、賞を逃し悔しさで涙するクラスが見られ、今まで積み重ねてきた練習の成果を出し切った思いが伝わってきました。

ご家族、地域の皆様、温かい拍手を送っていただきありがとうございました。

 

clip_image002clip_image004

clip_image008clip_image006

clip_image010clip_image012

下栗の里を訪れて

24日(日)PTAグループ活動の自然観察クラブ員で長野県にある"下栗の里"を訪れました。

秋晴れのすがすがしい天候のもと、大人6名、中学生2名が参加しました。

途中、道幅のとても狭いところを通りました。対向車が来ないことを祈りながら運転しました。

clip_image002clip_image004

ビュースポットから見る景色はすばらしく、とても充実したひとときを過ごすことができました

11月23日(土)学校祭で、クマタカレンジャーRDがデビューしました。

ブラッククマタカを追ってアメリカに渡ったクマタカレンジャーの後を受けてRDが誕生しました。

DSC_0442

RDが現れると思いきや、ブラッククマタカの弟、ブラックサンダーが登場しました。

クレイジーモンキーを暴れさせて学校祭を乗っ取ろうとします。

DSC_0443 DSC_0446

そのとき、颯爽とRDが登場!

必殺技、「クマタカレインボービーム」でクレイジーモンキーを倒しました。

DSC_0447 DSC_0450

会場のみなさんに、決めポーズ!

DSC_0458DSC_0452DSC_0453DSC_0455DSC_0457 

RDは、レッドサン、ブルーシャーク、イエローフォックス、グリーンプラント、ピュアエンジェルの5人です。みんな覚えてね。

DSC_0459

そこへ、新たな敵、ケロケロフロッグが登場!

レッドサンがつかまってしまいます。

そこに現れた謎のオレンジレンジが助けてくれました。

DSC_0461 新たな戦いを予感させつつRDは、学校祭を守り抜くことができました。DSC_0462今後も、クマタカレンジャーRDの活躍にご期待ください!

「税の標語」入賞しました

11月20日(水)、新城間税会が主催する「税の標語」入賞者への表彰がありました。

応募した2年生のなかから、奨励賞1名、佳作3名が表彰されました。

 

奨励賞受賞標語

「税金は 輝く未来の もととなる」

 

校長室にて、みんな笑顔で受賞しました。

コピー ~ IMG_4271

なお、作品は11月21日(木)まで、ピアゴ新城店2階にて展示されています。

生徒たちが夏休みに製作したポスター作品を各方面に応募しましたが、それぞれ高い評価を得ることができ、表彰されました。

18日の全校朝礼の場で伝達表彰が行われました。

IMG_4238

田口地区コミュニティ推進委員会主催の環境衛生ポスターコンクールでは、最優秀賞1名、優秀賞5名が表彰されました。

入賞作品は、12月9日(月)~13日(金)の間、設楽町田口の設楽郵便局にて展示されます。

また、赤い羽根協賛児童生徒作品コンクールでも3年の生徒が入選しました。

コピー ~ IMG_4274

様々な場面で生徒たちのがんばりが評価されています。

たまげた卵

歯の健康に関連して、保健安全委員会で行った実験です。

歯のエナメル質の主成分は炭酸カルシウム、卵の殻の主成分はリン酸カルシウムです。保健安全委員会で、卵を酢につけてみました。

すると、卵の殻はしだいに溶けて、1週間たつと中の黄身がみえてスケスケになってしまいました。

カルシウムは酸に弱い性質をもっています。そのため、長時間触れ合っていると分解されてしまいます。口の中でも同じことがいえます。歯みがきをせずにそのままにしておくと、歯垢が酸に変わります。それがエナメル質のカルシウムを溶かし虫歯になってしまうということです。

日々の歯みがきを1回1回丁寧に大切にしてほしいです。

 

image image

 

image image

 

image image

11月14日(木)第2回学校保健委員会を行いました。

今回のテーマは、「歯みがきはなぜ必要?」です。

「歯は一生使う大切なもの」と頭では分かっているつもりでも、いざ忙しい生活にどっぷりつかっていると、実際の歯みがきがおろそかになったり、自分の歯の観察を忘れてしまったりします。

そこで、学校歯科医の先生に、歯のことを教えていただきました。

設楽中の生徒の歯の状態や歯みがきの状態は、とても良いことも誉めていただきました。この良い状態を、ずっと意識して続けていきましょう。

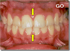
CO、GOは、ブラッシングを続ければ、長い時間かかりますが回復します。そのためのブラッシングの正しい方法を教えていただきました。

また、歯の健康は笑顔や心の健康につながることも教えていただきました。

IMG_4187 IMG_4193

  IMG_4201IMG_4196IMG_4205 IMG_4207 image image

image image

11月13日(水)1年B組で国語の研究授業を行いました。

ヘルマン・ヘッセ著「少年の日の思い出」の読みとりです。

蝶の標本を盗んでしまった「僕」の気持ちを考えました。

本文を根拠に自分の考えを進んで発表しました。

IMG_4176 IMG_41711113 0131113 009  

さらに深めるため、グループで話し合いました。

IMG_41791113 033

「僕」の気持ちに迫ることができました。

11月9日(土)に豊橋市営コートで第29回秋季中学生ソフトテニス研修大会が行われました。

1回戦は西尾市の寺津中学校でした。初戦を見事3-0で勝利し、2回戦に駒を進めました。

2回戦は豊田市の井郷中学校でした。1-1までいったのですが、惜しくも2-1で破れました。

その後、練習マッチで名古屋の汐路中学校とも試合をさせてもらいました。

今課題にしている「声を出す」ことが徐々にできるようになってきています。収穫の多い秋の研修大会となりました。

町内小中学生の力作が集合(設楽町造形展)

11月8日(金)から展示が行われていた設楽町造形展に全校で見学に行きました。

町内5小学校、2中学校の全児童生徒が作品を出展していました。

鑑賞するだけでなく、さわって遊べる作品もたくさんあり、楽しく過ごせました。

IMG_0466 IMG_0470 IMG_0468

11月のこんだて表

11月のこんだて表ができました。

 

11月23日に行われる学校祭で、食育委員会が地元の食材を使った

料理を発表します。

名づけて「設中3分クッキング」

23日の12:00より家庭科室で実際に調理しながら紹介します。

どんなメニューになるのかは当日のお楽しみ。

 

好評ならば、実際の給食にも登場する予定です。

ぜひお越しください。

 

11月のこんだて表はこちら

 

お知らせ

25日は学校祭の振替休業日になります。

ひびけ歌声(1A道徳研究授業)

11月11日(月)ポッキーの日です。

1年A組で道徳の研究授業を行いました。

「ひびけ歌声」という物語を資料に男女の違いを理解し、協力し合うよさを学びました。

1111 0171111 021

授業の終盤には、登場人物になりきってロールプレイを行いました。

1111 032IMG_4163

男子と女子、お互いのよさを生かして生活しましょう。

  11月8日(土)にライフポートとよはしで東三河スピーチコンテストが行われました。本校から、2名の生徒が北設代表として出場しました。

東三河各地区からの代表者が集まり、とてもレベルの高い大会でした。本校生徒は、暗唱の部とスピーチの部にそれぞれ出場し、すばらしいスピーチを披露しました。

2人とも自宅での練習に一生懸命励み、英語らしい流暢な発音、そして思いのこもったスピーチができました。そして暗唱の部に出場した生徒がみごと入賞を果たしました。

これまでの努力と経験は必ず次のステップに役立っていくと思います。Good Luck!

CIMG5018 CIMG5025 CIMG5028 CIMG5032

勇猛果敢に(バスケットボール部)

11月10日、西浦中学校でバスケットボール東三大会が行われました。北設では唯一のバスケットボール部である設楽中は、北設の代表としてこの大会に参加しました。

相手は前回のチャンピオン、豊川東部中でした。駅伝の練習、学校祭の準備など、バスケットボールの練習時間がなかなか取れないなかで、土曜日には、毎週のように練習試合をしながら、この大会に備えてきました。

残念ながら大差で負けてしまいましたが、チャンピオン相手に目標であった26点を取れたことは、大きな自信になりました。まだまだ課題もたくさんありますが、強い相手と試合をすることで、チームが強くなれます。強い相手に勇猛果敢に向かっていく生徒たちの姿を見て、生徒たちの成長を感じました。

日々、気持ちも技術も成長している生徒たちのこれからに期待!!次の試合に向けて、チームとしての力を、個人のスキルアップをはかっていきます。

応援ありがとうございました。DSC_0454

アカペラってすごい!

11月5日(火)「へき地学びの絆」づくり事業で、アカペラグループ「Q.T.Honey」のコンサートを聴きました。

開演と同時に音楽が流れ、「あれ?アカペラのはずなのに?」と思ったら、その音楽はすべて声で出していました。

6人のQ.T.Honeyのみなさんは、それぞれパートが決まっていて、一人ひとり全く違う音(声?)を出します。それが集まると、見事なハーモニー&演奏になりました。

子どもたちも1曲目から手拍子をし、すばらしい歌声に聴き入りました。

そして、うれしいサプライズが。誕生日の近い人一人ひとりにQ.T.Honeyのみなさんがハッピーバースデイを歌ってくれました。

IMG_4108 IMG_4110

最後は、各校代表の先生も舞台に上がり、会場みんなでヘビーローテーションを踊りました。

IMG_4138 IMG_4131IMG_4142 IMG_4134

先生 のダンスの切れ味にみんな笑顔になりました。

本格的なアカペラを初めて聴き、声のすばらしさ、ハーモニーの美しさに感動したひとときになりました。

Q.T.Honeyのみなさん、ありがとうございました。

カンボジアのみなさんがやってきました!

11月5日(火)カンボジア王国シェムリアップ州教育使節団のみなさんが設楽中にやってきました。

1105 002 1105 008

シェムリアップ州の教育長さん、シェムリアップ市の教育長さん、シェムリアップ州の教員養成学校の校長先生、JST代表兼通訳の方、NPO法人オアシスのみなさんです。

カンボジアの学校教育の参考にしたいと設楽中学校を訪問されました。

1105 011 1105 0321105 0441105 045

体育や理科など、カンボジアではまだ日本のようにできない教科もあるそうです。

和やかな雰囲気の中、全校で会食しました。

1105 057 1105 055

生徒会長の歓迎の言葉に続いて、使節団の方からお礼の言葉をいただきました。

1105 063 1105 064

カンボジアはまだ貧しく、子どもたちも、全員が毎日学校に行けるわけではないそうです。

カンボジアの様子を聞き、設楽中学校でもできることがあれば協力していきたいと思います。

学校祭では、カンボジアの教育を支援するためのカンパを行う予定です。

ご協力をお願いします。

学校祭、がんばるぞ!

11月5日(火)全校朝礼を行いました。

はじめに、郡英語スピーチコンテスト入賞者の表彰を行いました。

IMG_4076 IMG_4079

11月8日(金)の東三英語スピーチコンテストに向けて練習に励みます。

 

学校祭に向けてをテーマに各学年の代表がスピーチしました。

IMG_4087IMG_4093IMG_4095

【1年代表】

「名人に学ぶ」で寒狭川で釣りを教えてもらいました。そのことをお客さんに分かりやすく伝えたいです。そのために教えてもらったことを具体的に説明します。実際にやってみせるなど工夫したいと思います。

「合唱コンクール」に向けて気持ちを入れて練習を始めるのが遅れました。遅れを取り戻し、いつでも全力が出せるように練習に励みます。

【2年代表】

「合唱コンクール」では、指揮を担当します。みんなをまとめて、賞を取りたいです。

全校ソーランを全校の手で作り上げ、最高のパフォーマンスを見せたいです。

生徒会タイムにも出演します。

お客さんに「来てよかった」といってもらえる学校祭にしたいです。

【3年代表】

学校祭の仕事が増えてきて、祭を盛り上げようという意識が高まっています。

スローガンにある「木絆」を大切にし、一人ひとりが一枚の木の葉のように祭という木を創り上げるために協力していきます。そして、最高のパフォーマンスをお客さんに見てもらいたいです。

今年は、新たな取り組みが増えました。心を一つにして、お客さんを楽しませ、喜んでもらえるような学校祭を創りたいです。

 

第13回学校祭は、11月23日(土)8時35分開演です。

ぜひ、設楽中学校にお越しください。

商工感謝祭にクレイジーモンキー登場!

11月3日(日)設楽町商工感謝祭にクマタカレンジャーが出動しました。

出動前の作戦会議です。

1103 026

またしてもブラッククマタカが登場!

1103 029

あっさり退け、勝利のポーズです。

1103 040

そこへ、新たな敵「クレイジーモンキー」が現れました。

1103 042 1103 044

クレイジーモンキーの攻撃でダメージを受けるレンジャー達。ピンチです!

しかし、チームワークで敵を退け、クマタカレンジャーが勝利しました。

1103 047

最後に会場のみんなとじゃんけん大会です。

 1103 048 1103 059

1103 061 1103 062

クマタカレンジャーに勝ったお友達に白菜やリンゴ、お肉などの賞品をプレゼントしました。

第2ラウンドは、縄跳び大会です。

1103 065

ヒーローの意地をかけてがんばり、2位になりました。

とんだ回数連続50回は参加チーム中最多でした。

 

クマタカレンジャー第1クールは、商工感謝祭をもって終了です。

応援ありがとうございました。

 

学校祭から装いも新たに第2クールが始まります。

ご期待ください。

大健闘!東三駅伝大会!

11月2日(土)新城総合公園で東三河中学校駅伝大会が開催されました。

駅伝部が結成されてから約2ヶ月。この日のために練習を重ねてきました。

10時30分、女子の部がスタートしました。

IMG_3915IMG_3917 IMG_3924IMG_3929IMG_3944IMG_3961

練習の成果を生かしたすばらしい走りでした。

11時30分、男子の部がスタートしました。

IMG_3968IMG_3975IMG_3979IMG_4003IMG_4015IMG_4019IMG_4042IMG_4047

県大会に出場できる10位以内をめざして、全力でたすきをつなぎました。

結果は、男子12位、女子30位でした。

惜しくも県大会出場はなりませんでしたが、このチームでのベストタイムを更新し、もてる力をすべて発揮することができました。

一緒に練習してきた全校生徒のみなさん、応援してくれた保護者・地域のみなさん、選手達を支えていただきありがとうございました。

 IMG_4066

学校祭が近づいてきました!

11月になり、学校祭に向けての準備が本格的に始まりました。

今年の学校祭のスローガンは、

「絆清緑伸(ばんせいりょくしん)~一枚の葉が木絆(きずな)をつくる~」

に決まりました。

意味は、次の通りです。

「一枚一枚の葉は、地域の方々一人ひとりを表し、

たくさんの葉が集まり、大きな木ができるように

一つのことに向かって団結・木絆(絆)を作っていこう。」

地域のみなさんとの絆を深め、みなさんとともに創っていく学校祭をめざし、子どもたちはがんばっています。

子どもたちが、学校祭の案内をもってうかがうと思います。

ぜひ、ご参加いただきますようお願いします。

第13回学校祭 11月23日(土)午前8時35分開演

 

【11月行事予定】

11月 1日(金)北設楽郡英語スピーチコンテスト(豊根中) 17:10下校開始

11月 2日(土)東三駅伝大会(新城総合運動公園) 1・2年部活動

11月 3日(日)商工感謝祭:クマタカレンジャー出動13:00

11月 5日(火)カンボジア教育視察団来校

へき地芸術教室:アカペラグループQTハニー14:00

11月 8日(金)設楽町造形展~10日 PTAグループ活動書道19:30

11月 9日(土)1・2年部活動

11月11日(月)校内授業研究会:1A道徳

11月12日(火)PTA広報委員会19:00

11月13日(水)校内授業研究会:1年国語

11月14日(木)卒業アルバム撮影 第2回学校保健委員会14:00

11月16日(土)県駅伝大会 1・2年部活動 数検②

11月18日(月)PTA役員・理事会19:00

11月22日(金)PTAグループ活動 フラワーアレンジメント19:00 書道19:30

11月23日(土)第13回学校祭:8時35分開演

11月25日(月)振替休業日

11月29日(金)2学期期末テスト前日

 

11月も設楽中学校の教育活動にご理解ご協力をお願いします。

1020 039

11月1日(金)、豊根中学校にて郡中学校英語スピーチコンテストが行われました。

本校からは、2名の生徒が代表として参加しました。

本番では、2人とも今までの練習の成果を十分に発揮し、ベストなパフォーマンスを披露することができました。

CIMG4972 CIMG4987 CIMG5007 CIMG4993

この2名の生徒のスピーチは、審査員の先生方からも高い評価をいただき、2人とも東三河英語スピーチコンテストに郡代表として選出されました。

東三河英語スピーチコンテストは、11月8日(金)にライフポートとよはしで行われます。

スピーチにさらに磨きをかけて、東三河大会でもがんばってくれることと思います。

ファイトだ!設楽中!

11月1日(金)北設楽郡英語スピーチコンテスト、東三駅伝大会の壮行会を行いました。

英語スピーチコンテストに出場する2名が、全校の前で最後のリハーサルをしました。

前回よりも流ちょうになり、気持ちのこもったスピーチでした。

IMG_3811 IMG_3817

東三駅伝に出場する男子部、女子部それぞれのキャプテンから、決意が語られました。

IMG_3837 IMG_3840 IMG_3836IMG_3842

そして、生 徒会長の音頭で円陣を組み、全校でエールを送りました。

体育館に選手を励ます全校の声が響き渡りました。

IMG_3850

最後に校長先生から励ましの言葉をいただきました。

IMG_3864

「ON YOUR MARK」を合い言葉にそれぞれの場で活躍することを願っています。

 

郡英語スピーチコンテストは、本日午後開催されました。

東三駅伝大会は、11月2日(土)開催されます。

応援よろしくお願いします。

2020年10月

        1 2 3
4 5 6 7 8 9 10
11 12 13 14 15 16 17
18 19 20 21 22 23 24
25 26 27 28 29 30 31

月別 アーカイブ